Jacksonville Pet Dental Care | Dog & Cat Dental Cleaning Skip to Main Content Skip to Footer

Preventive Dental Care

Routine dental care matters.

Pet Dental Care in $city

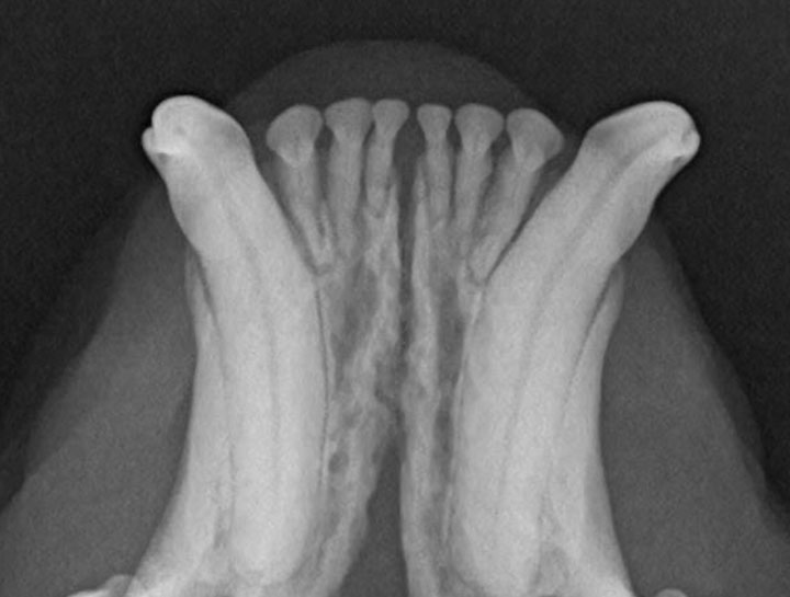
Digital Dental Radiology

Insight into underlying issues.

Hidden Hills Animal Hospital